New solutions support detection, prioritisation, and quality checks directly within the PACS workflow.
VILNIUS, LITHUANIA, February 10, 2026 /EINPresswire.com/ -- Oxipit announces the launch of CT Eye™ and MSK Eye™, two new CE-certified AI solutions expanding its radiology AI portfolio beyond chest X-ray into chest CT and musculoskeletal X-ray workflows. Oxipit will demonstrate these solutions at the European Congress of Radiology (ECR) this March, alongside its globally adopted CXR Suite, known for introducing the world’s only autonomous healthy chest X-ray reporting solution.The new solutions bring Oxipit’s established workflow approach—combining AI-assisted detection, study prioritisation and automated report-to-image quality checks—into additional imaging modalities, allowing radiologists to benefit from AI support directly inside their existing reporting environment.
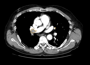
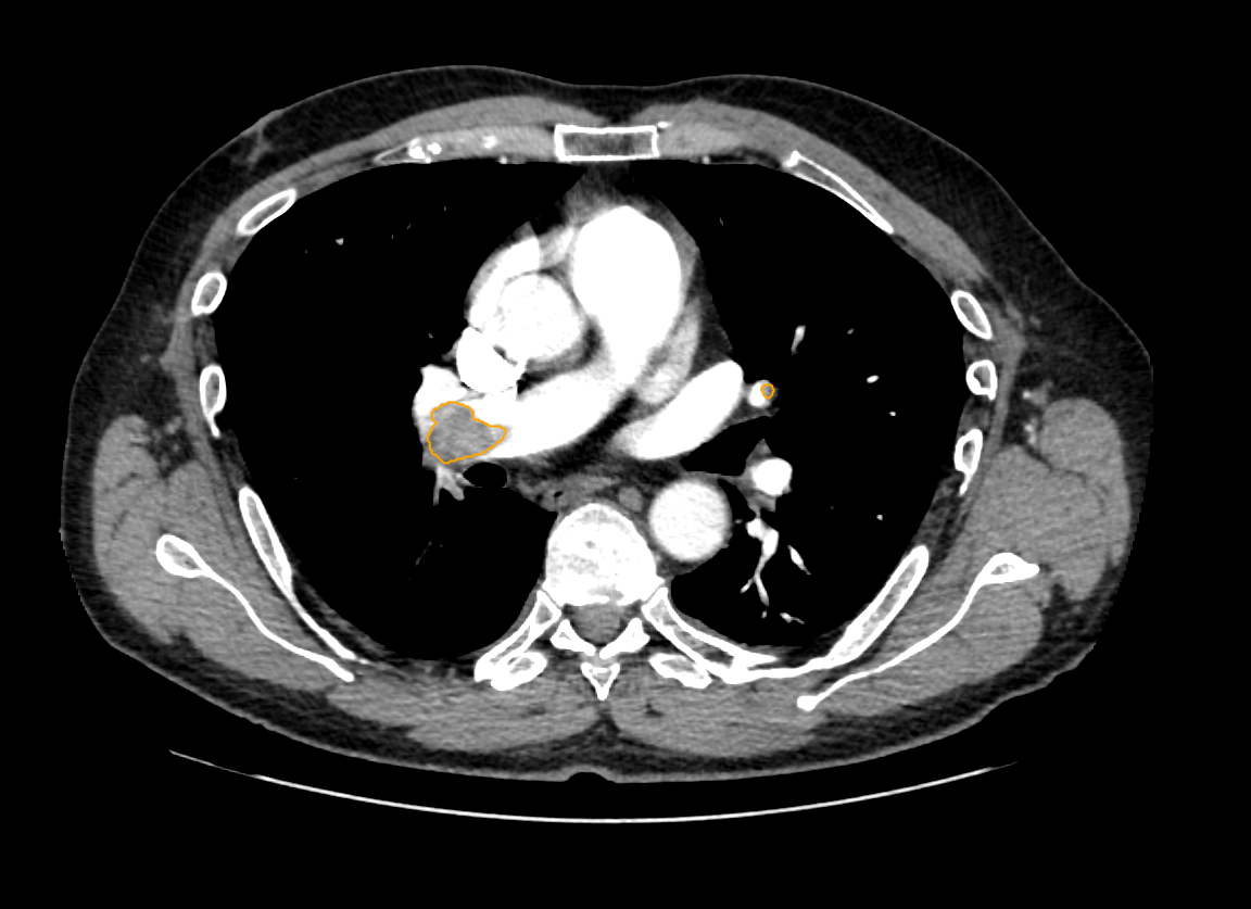
CT Eye™ is designed to assist radiologists reviewing adult chest CT studies by identifying radiological signs associated with pulmonary embolism (including incidental PE in contrast studies), lung nodules, and lung consolidation. The system helps prioritise studies where these findings may be present, provides study-level localisation of suspicious areas, and performs automated quality checks by comparing image content with the radiologist’s final report using integrated NLP analysis.
MSK Eye™ applies the same principle to musculoskeletal X-ray reporting, supporting radiologists in identifying a wide range of skeletal and joint abnormalities, including fractures (acute, chronic and compression), dislocations, degenerative changes, post-surgical states, bone lesions, and other clinically relevant findings. As with CT Eye™, the system supports triage and performs automated post-report checks to highlight potential discrepancies between the image and the report.
In both solutions, radiologists continue reporting inside PACS as usual. AI analysis happens in the background, helping clinicians start from a pre-analysed study, recognise which cases may require urgent attention, and receive a second automated review after reporting—all without introducing new tools or disrupting established routines.
“Oxipit’s approach to AI has always been workflow-first. As radiology departments worldwide manage growing volumes and complexity, CT Eye™ and MSK Eye™ bring AI-supported triage and automated quality assurance into CT and musculoskeletal imaging, helping radiologists start from a pre-analysed study and benefit from a reliable second check after reporting—all inside their existing PACS environment,” said Peter Corscadden, CEO of Oxipit.
The introduction of CT Eye™ and MSK Eye™ represents Oxipit’s evolution from a chest X-ray AI pioneer into a broader multi-modality radiology AI provider and marks the first step toward extending Oxipit’s vision of autonomous radiology into new imaging modalities beyond chest X-ray. CT Eye™ launches with three critical chest CT findings, with additional indications already in development as part of the CT Eye™ roadmap.
More information about CT Eye™ and MSK Eye™ is available at www.oxipit.ai.
About Oxipit
Founded in 2017 by experts in medicine and data science, Oxipit is a leader in AI-based medical imaging. The company introduced ChestEye in 2019 for detection of 75 chest X-ray findings and launched ChestLink in 2022 as the world’s first CE Class IIb certified solution capable of identifying normal chest X-rays with 99.9% sensitivity. In 2026, Oxipit expanded its portfolio into chest CT and musculoskeletal X-ray imaging, continuing to support radiologists through workflow-integrated detection, prioritisation, and reporting support in daily clinical practice worldwide.
Milda Shams
Oxipit
email us here
Visit us on social media:
LinkedIn
YouTube
X
Legal Disclaimer:
EIN Presswire provides this news content "as is" without warranty of any kind. We do not accept any responsibility or liability for the accuracy, content, images, videos, licenses, completeness, legality, or reliability of the information contained in this article. If you have any complaints or copyright issues related to this article, kindly contact the author above.



